Especialidades - Lopreite Bravo

Vaya al Contenido

Menu Principal:

ESPECIALIDADES

Ortodoncia niños
Ortodoncia adultos
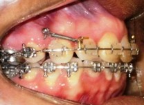
Ortodoncia con micro implantes
Ortodoncia invisible
Tratamiento de disfunción temporomandibular
Endodoncia
Intervenciones de alta precisión con microscópica operatoria
Microcirugía
Microendodoncia

 
Ortodoncia en niños


Tratamientos de ortodoncia en edad temprana
Interceptivos y preventivos. Diagnóstico, evolución
y seguimiento de crecimiento y desarrollo.

Ortodoncia en adultos



Resolución de maloclusiones sin límite de edad.

 
 
 
Ortodoncia con microimplantes


Tratamientos de ortodoncia
combinados con la instalación de
microimplantes como refuerzo mecánico.

 
 
 
Ortodoncia Invisible


Tratamientos de ortodoncia con técnicas estéticas.



 
 
 
Tratamiento de disfunción temporomandibular


Terapéutica del síndrome doloroso y funcional de la articulación temporomandibular.



 
 
 
Rehabilitación estética y funcional

Complementación de las técnicas terapéuticas para la rehabilitación integral.

 
 
 
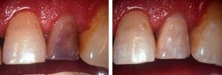
Blanqueamiento Dental

Técnicas conservadoras para la resolución y mejoramiento estético de la coloración de una o varias piezas dentarias.

 
 
 
Implantologia


Empleo de los implantes dentales como recurso para la resolución funcional y estética ante la ausencia de piezas dentales.

 
 
 
Intervenciones de alta precisión con microscopia operatoria

Equipamiento de microscopia operatoria que permite realizar diagnósticos y tratamientos con magnificación que aumenta la precisión de los procedimientos.

 
 
 
Microcirugía


Procedimientos quirúrgicos mínimamente invasivos bajo Microscopia Operatoria.


 
 
 
Microendodoncia


Procedimientos endodonticos bajo Microscopio que permiten el diagnostico, abordaje y tratamiento con mínima invasividad y máxima abordabilidad.

 
 
 
 
 
 
Buscar
Regreso al contenido | Regreso al menu principal