Menu Principal:

Equipamiento Kodak -
Sistema informatizado en la obtención de 20 tipos de trazados cefalométricos digitales de tejidos blandos y duros, para la realización de diagnóstico , tratamiento ortodóncico y quirúrgico ortodóncico.
Soporte impreso o digital para el archivo, transporte o envío de imágenes.

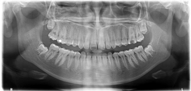
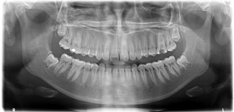
Panorámicas
Senos Paranasales
Carpales de Desarrollo
Telerradiografías de perfil
Telerradiofrafías de frente
ATM por dos y cuatro vistas
Perfilograma de tejidos
duros y blandos
